Living with knee pain doesn’t always mean surgery. If you’ve been diagnosed with mild to moderate knee osteoarthritis (Grade 1–3), regenerative treatments like Platelet-Rich Plasma (PRP), Prolotherapy, and Stem Cells offer a safe, non-surgical solution to reduce pain, restore function, and delay knee replacement. At Alleviate Pain Clinic, Bengaluru, we specialize in image-guided regenerative medicine—ensuring precision, safety, and maximum results.
Understanding Mild to Moderate Knee Osteoarthritis
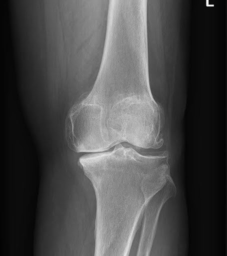
Weight bearing AP view X ray knee showing Grade 3 Knee Osteoarthritis. Regenerative injection treatments are attempted only till Grade 3 Stage of the disease.
Knee osteoarthritis (OA) is a progressive condition where cartilage slowly breaks down, leading to stiffness, pain, and loss of mobility. The Kellgren-Lawrence (KL) grading system defines early OA as:
- Grade 1: Minimal joint changes, doubtful narrowing
- Grade 2: Definite narrowing with osteophytes
- Grade 3: Moderate narrowing, frequent pain and stiffness
At these stages, cartilage is still present—making regenerative therapies most effective.
Why Choose Non-Surgical Treatments First?
Conventional care often starts with painkillers, physiotherapy, and steroid or hyaluronic acid (HA) injections—but these only provide temporary relief. On the other hand:
- PRP, Prolotherapy, and Stem Cells target the root cause biologically
- They reduce inflammation, strengthen tissues, and stimulate regeneration
- Can delay or avoid knee replacement in many patients with early OA
PRP (Platelet-Rich Plasma) for Knee OA
Platelet-Rich Plasma therapy(PRP) harnesses the healing power of your own blood. A small sample is processed to concentrate platelets and growth factors, which are injected back into the knee under ultrasound or fluoroscopic guidance.
Why Platelet Count Matters
Not all PRP is equal. Studies confirm that:
- PRP with 5–7x baseline platelet concentration provides better results
- An injection volume of ~8 mL improves joint coverage and outcomes
- Higher platelet yield leads to greater cartilage protection and pain relief
PRP at Alleviate
We ensure maximum efficacy and safety by:
- ✅ Using advanced centrifuge machines and high-quality cartridges
- ✅ Delivering PRP under image guidance for accuracy
- ✅ Training staff with standardized preparation protocols
- ✅ Performing random platelet count checks at NABL-accredited labs

Fluoroscopy guided image for knee intrarticular Prp injection done at Alleviate Pain Clinic, Bengaluru
Prolotherapy for Knee OA
Prolotherapy involves injecting a dextrose (sugar) solution into the knee ligaments, tendons, and capsule. This controlled irritation stimulates the body’s healing mechanisms.
Benefits of Prolotherapy
- Strengthens ligaments and tendons
- Improves joint stability
- Reduces pain caused by micro-instability
Works especially well for patients with laxity, instability, or recurrent swelling
Prolotherapy at Alleviate
- Performed in 3–6 sessions, spaced 3–4 weeks apart
- Always image-guided for precision
Combined with physiotherapy and rehabilitation for long-term success
Stem Cells for Knee OA
Stem cells—particularly Mesenchymal Stem Cells (MSCs)—are being studied globally for their role in cartilage regeneration and inflammation control.
Sources of MSCs & Yield Differences
- Bone Marrow–Derived MSCs (BM-MSCs):
- Harvested via bone marrow aspiration
- Provide lower MSC yield compared to adipose tissue
- Well-researched, but extraction is more invasive
- Adipose-Derived MSCs (AD-MSCs):
- Obtained via minimally invasive liposuction
- Provide 500–1000x higher MSC yield than bone marrow
- Rich in regenerative growth factors and cytokines
Adipose derived stem cell preparation at Alleviate Pain Clinic, Bengaluru
Stem Cell Best Practices at Alleviate
- ✅ Closed-system processing machines that preserve MSC viability
- ✅ Selecting adipose vs bone marrow source based on patient profile
- ✅ Validating MSC counts with random external lab testing
- ✅ Maintaining strict sterile OT environment and trained staff protocols
PRP vs Prolotherapy vs Stem Cells — Comparison
|
Feature |
PRP |
Prolotherapy |
Stem Cells |
|---|---|---|---|
|
Best For |
Early OA, pain relief, cartilage support |
Instability, ligament laxity, chronic OA pain |
Cartilage regeneration, inflammation control |
|
Evidence |
Strong (meta-analyses, RCTs) |
Moderate, growing |
Promising global research |
|
Sessions |
1–3 |
3–6 |
Single procedure; repeat if needed |
|
Safety |
Very safe, autologous |
Very safe, glucose-based |
Safe; depends on processing |
|
Key Yield Factor |
Platelets: 5–7x baseline, ~8 mL |
Not applicable |
Adipose = high MSC yield; Bone marrow = lower MSC yield |
|
Alleviate Advantage |
Advanced centrifuge, cartridge quality, lab-validated platelet counts |
Image-guided injections |
High MSC yield with validation, advanced machines, expert staff |
Why Choose Alleviate Pain Clinic? – The Multidisciplinary Advantage
At Alleviate Pain Clinic, we believe that successful treatment of knee osteoarthritis goes beyond injections alone. Our multidisciplinary approach integrates regenerative medicine with lifestyle, rehabilitation, and supportive care:
- 🩺 Interventional Regenerative Medicine
– Advanced PRP, Prolotherapy, and Stem Cell injections delivered under ultrasound and fluoroscopy guidance for maximum precision. - 🏋️ Physiotherapy & Rehabilitation
– Customized exercise programs to strengthen muscles around the knee, improve flexibility, and restore balance.
– Hydrotherapy and postural correction for patients who struggle with weight-bearing pain. - 🥗 Clinical Nutrition
– Diet plans focused on weight reduction, anti-inflammatory foods, and joint-protective nutrition.– Special focus on Vitamin D, calcium, and protein intake for cartilage and bone health. - 🧠 Clinical Psychology & Pain Management
– Chronic pain often impacts mood, sleep, and motivation. Our psychologists help patients cope through cognitive-behavioral strategies, relaxation training, and mind–body techniques. - 📊 Monitoring & Outcome Tracking
– We use internationally validated scoring systems (WOMAC, KOOS) to measure improvements in pain, stiffness, and function.
– Regular reviews to adapt treatment plans based on patient progress.
Result: Patients at Alleviate Pain Clinic benefit from a 360° care pathway—not just pain relief, but improved function, mental well-being, and long-term joint protection
Take the Next Step
If you’re suffering from knee pain due to early osteoarthritis, don’t wait until surgery is the only option.
FAQs on PRP, Prolotherapy & Stem Cells
Yes. PRP is highly effective in Grade 1–3 OA, improving pain, function, and slowing progression. Growth factors stimulate cartilage healing, reduce inflammation, and improve lubrication. Results are best when platelet concentration is 5–7x baseline and volume is ~8 mL.
Hyaluronic acid lubricates the joint but does not repair cartilage. PRP has been shown in multiple studies to outperform HA, providing longer-lasting pain relief, better function, and potential disease-modifying effects.
- Grade 1–2 OA: Usually 1–2 sessions
- Grade 3 OA: 2–3 sessions
Sessions are spaced 3–4 weeks apart. At Alleviate, progress is monitored using WOMAC and KOOS scoring to tailor treatment.
Yes. Prolotherapy strengthens ligaments and reduces pain due to micro-instability. It is most effective in patients with laxity or giving-way sensations. Typically requires 3–6 sessions, combined with physiotherapy.
Adipose tissue provides a much higher MSC yield (500–1000x more) compared to bone marrow. Adipose-derived MSCs are also easier to harvest and rich in regenerative cytokines. Bone marrow MSCs are still widely studied but involve an invasive aspiration.
Yes. PRP, Prolotherapy, and Stem Cells can significantly delay or avoid total knee replacement in many patients. They reduce pain, restore mobility, and slow disease progression when combined with weight management and physiotherapy. Many Alleviate patients who were advised surgery regained mobility without replacement.